Dental University Lucknow 3. This post is made indirectly ie.
Principles Of Post And Core Dentistry Inside Dentistry
When a significant portion of a tooths structure is removed a post and core can help keep a.
Dental post and core problems. The role of the post is firstly to retain a core restoration and crown and. Post and Core In Addition To Crown Indirectly Fabricated. It adds the proper support necessary to restore a tooth with a cap or crown.
Placing a Post and Core is a procedure that is required in order to rebuild and strengthen a tooth that has had root canal treatment. The main advantage of placing a cast post and core is that its custom made for your tooth. Dentistry is a very subjective area where a wide range of treatment such as dental bridge or a post is readily available to suit your needs.
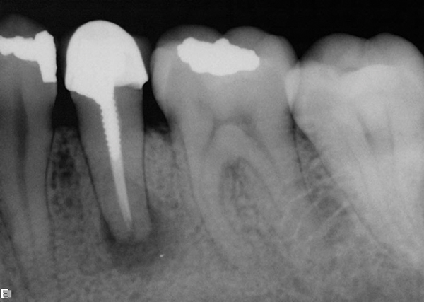
This post is made from scratch. Because the post is placed within the root canal the tooth must first be endodontically treated. URBN dental offers best quality post and core crown in Houston.
The ability of the post to retain a core must be monitored to determine the number of post for every teeth. The core is the part that replaces anatomic crown structure. Post and core restorations.
The role of the post is firstly to retain a core restoration and crown and secondly to redistribute stresses down onto the root thereby reducing the risk of coronal fracture. A post and core crown is a type of dental restoration required where there is an inadequate amount of sound tooth tissue remaining to retain a conventional crownA post is cemented into a prepared root canal which retains a core restoration which retains the final crown. Bruising of the gums or skin.
If more than half of the tooths crown still remains a core by itself will probably suffice. Post and Core at Rehan Dental Surgery. Endodontic failure is one of the major concerns when designing a post and core device.
Posts dont strengthen teeth. However when considering the clinical success of dental root-form implants compared to questionable teeth it is often better to extract the teeth and place implants. Density of dentinal tubules affects the tensile strength of root dentin.
Post and core are custom fabricated as a single unit The post is the part that extends into the root. A post and core crown is a type of dental restoration required where there is an inadequate amount of sound tooth tissue remaining to retain a conventional crown. This can present challenges for both the dental practitioner and the patient in deciding which treatment option suits the patient best taking into account the advantages disadvantages time and cost required to achieve desired results.
These crowns are secure and not going to cause any damage teeth. Core Buildup Post and Core and Pin Retention Dental Coverage Guideline Author. When dental post and core is used it can easily make the teeth to fracture as well as adding the perforation risk to it.
It must be securely in place before the crown preparation can start. Swelling of the gums or face. 07012020 This policy addresses restorative foundation for an indirect restoration core buildup including any pins when required post and core pin retention and post removal.
If the endodontic procedure is not successful or not yet comfortable for the patient it does not make sense to seal the endodontic access opening with a post and core that obstructs further endodontic intervention. If more than half of a tooths original crown portion the part of the tooth normally visible above the gum line has been lost a post is needed to assist with anchoring the core to the tooth. However some people may experience the following symptoms after DIS.
Mannocci F Pilecki P Bertelli E Watson TF. A post and core is a dental restoration which is used to sufficiently restore a tooth morphology followed by future restoration such as a crown when there is no an adequate part of tooth hard tissue regarding to the required clinical indication of the case due to loss of tooth structure as a result of decay fracture or other causes. As disadvantages placing one is a two-appointment procedure and typically involves a higher fee.
Post and Core crown is best option when teeth need to be restored after it saved with a root canal. Cost estimates for posts. If it is too long the clinician can break the tooth by wedging it.
Which have a modulus of elasticity very similar to the modulus of elasticity of dentine and can realize a tooth-post-core. Despite the large. The post and core complex can be placed only after the endodontic treatment has been successfully completed.
Post and core is a dental restoration treatment thats sometimes performed after a root canal. Bateman G Tomson P. Outside of the patients mouth.
In the debatable event that a decision is made to restore such teeth a post in single-rooted teeth or more than one post in multirooted teeth should be placed. Pain at the site of the dental implant. It can cause the excess removal of the tooth tissue when being implemented.
A cast post and core is a single-unit object post and core combined that is specially made for your tooth in a dental laboratory. When a post is too short it will not directly hurt the tooth but it will not provide any valuable function. Restorative dentistry paediatric dentistry and orthodontics 2008.
A post is cemented into a prepared root canal which retains a core restoration which retains the final crown. The post does not play any role. The post it self is a metallic or reinforced fiber structure that is placed within the root of a tooth that has had a root canal endodontic procedure.
If the post is too short there will be a greater fulcrum and the tooth could break under stress. Trends in indirect dentistry. When a post is placed it must be the right length.
ads
Search This Blog
Blog Archive
- January 2023 (4)
- February 2022 (8)
- January 2022 (20)
- December 2021 (22)
- November 2021 (20)
- October 2021 (29)
- September 2021 (34)
- August 2021 (24)
- July 2021 (26)
- June 2021 (32)
- May 2021 (28)
- April 2021 (30)
- March 2021 (22)
- February 2021 (17)
- January 2021 (13)
- December 2020 (17)
- November 2020 (23)
- October 2020 (21)
- September 2020 (12)
- August 2020 (13)
- July 2020 (17)
- June 2020 (20)
- May 2020 (19)
- April 2020 (25)
- March 2020 (27)
- February 2020 (21)
- January 2020 (9)
- December 2019 (26)
- November 2019 (25)
- October 2019 (20)
- September 2019 (18)
- August 2019 (16)
- July 2019 (24)
- June 2019 (18)
- May 2019 (9)
Labels
- 1030
- 1944
- 50000
- about
- absorber
- acceptance
- accessible
- acid
- acids
- acne
- acquired
- action
- activator
- additive
- address
- adhd
- adichie
- administration
- adults
- adverse
- affect
- africa
- african
- after
- agnus
- alaska
- alcoholics
- alere
- alert
- alex
- alice
- alkalosis
- almond
- alpha
- alzheimers
- america
- american
- amplified
- analyse
- anatomy
- ancient
- anderson
- anemia
- angeles
- animals
- antenna
- antibiotic
- antibodies
- antipsychotics
- antivenom
- ants
- anxiety
- aortic
- application
- applications
- approach
- aquaponics
- arabic
- arcadia
- aria
- artery
- arthritis
- artificial
- arts
- asia
- atmosphere
- atomic
- atrial
- attachment
- attitudes
- atypical
- autism
- automation
- avatars
- avoid
- avoidant
- axial
- back
- bacteria
- bacterial
- balance
- ball
- balls
- band
- bars
- baseball
- based
- bases
- basic
- battery
- bearing
- beautiful
- beef
- beginners
- behavioral
- behind
- belief
- beliefs
- belt
- benz
- benzene
- best
- beta
- bifida
- bike
- bilateral
- bipolar
- bites
- bladder
- blocker
- blood
- body
- bohm
- book
- borderline
- borne
- boson
- boss
- bots
- bottled
- bottles
- bowel
- bowels
- braces
- braille
- brain
- brand
- breast
- breastplate
- brodie
- brush
- buddhism
- building
- burns
- business
- calcium
- calculus
- calm
- camera
- cameras
- canary
- cancer
- canine
- canola
- capacity
- capsules
- carbon
- carnitine
- carpal
- castus
- catalytic
- catheter
- cause
- caused
- causes
- cava
- cell
- cells
- cement
- center
- cerebral
- cervical
- chain
- channel
- characteristics
- cheapest
- chemical
- child
- childhood
- children
- chimamanda
- china
- chloride
- christian
- chromosome
- chronic
- cinnamon
- citizens
- citrate
- civil
- classroom
- cliff
- climate
- clinical
- clonic
- cloning
- coach
- coating
- cocci
- coconut
- coefficient
- coffee
- cognitive
- cold
- collateral
- collision
- colon
- colonoscopy
- column
- commitment
- common
- communication
- comp
- complement
- complications
- compost
- compression
- computer
- computerized
- condemned
- conditions
- conductive
- congestive
- connect
- cons
- conservation
- constipation
- consumer
- contractile
- control
- converter
- cool
- copd
- coral
- cord
- core
- corrupt
- cost
- costa
- cotton
- coughing
- counter
- cramps
- cranial
- creatine
- creatinine
- crime
- crimes
- crisis
- crohns
- crystal
- cuban
- cubes
- curriculum
- curve
- custom
- cycle
- cytoplasm
- daffodils
- dairy
- damage
- dampen
- dance
- danube
- dark
- data
- date
- dating
- david
- deaf
- deficiency
- define
- definition
- definitions
- deformity
- degeneration
- degenerative
- dehydrogenase
- dementia
- democracy
- denali
- dental
- dependency
- dermatitis
- dermatological
- desalinator
- desease
- design
- designer
- detect
- devices
- devil
- diabetes
- diabetic
- diabetics
- different
- dimensions
- direct
- disability
- disc
- disease
- diseased
- diseases
- dislocation
- disorder
- disorders
- doctor
- does
- dogs
- dominance
- doppler
- dorsal
- dory
- double
- download
- drainage
- drapes
- dress
- drip
- dropout
- drug
- drugs
- drying
- dual
- duct
- dulcolax
- dunes
- during
- dyslexia
- early
- earth
- eastern
- eating
- ecological
- economics
- ecosystem
- education
- effect
- effects
- egcg
- elderly
- election
- electric
- emigrate
- endangered
- energy
- enforcement
- engineering
- english
- enlargement
- enlightenment
- environment
- environmental
- eosinophil
- epidural
- episcopal
- epithelial
- equilibrium
- equipment
- essential
- ethical
- ethics
- etiology
- european
- euthanize
- evaluation
- evasion
- exam
- examination
- examples
- excavatum
- exceptional
- exercises
- exhaust
- experiences
- experimental
- experts
- exposure
- extract
- fact
- factor
- factors
- facts
- failure
- faith
- farewell
- fathers
- federalist
- feed
- feet
- fiber
- fibroids
- fibromyalgia
- fields
- figure
- filter
- filtration
- find
- fish
- flight
- floor
- fluids
- foot
- footprint
- foraminal
- forces
- foreign
- formed
- forms
- founded
- frame
- frasca
- free
- freeze
- friction
- from
- fulvic
- function
- fundamentalist
- fundamentals
- furniture
- furter
- fusion
- future
- gaba
- gain
- games
- gardner
- gear
- general
- generation
- genetic
- gentamicin
- george
- giant
- girls
- glucan
- gluten
- gold
- good
- gotta
- gout
- governance
- gram
- grape
- grapeseed
- graph
- greek
- green
- grip
- groin
- ground
- grow
- growth
- gulf
- hair
- hall
- hand
- handbook
- handwriting
- happened
- have
- hawaii
- hawk
- head
- headache
- headaches
- healing
- health
- healthcare
- hearing
- heart
- heel
- help
- here
- hereditary
- hernia
- hidden
- hidradenitis
- higgs
- high
- hips
- history
- histrionic
- hopkins
- hormone
- hospital
- hospitals
- house
- housekeeping
- human
- humans
- humidity
- hunt
- hybridization
- hydrochloride
- hyperlipidemia
- hypertensive
- ibuprofen
- ignarro
- illness
- images
- immune
- impacts
- implementation
- important
- improve
- impulsive
- income
- incontinence
- indigenous
- indirect
- infants
- infection
- inflammatory
- inflation
- information
- informative
- inguinal
- inhibitor
- initiative
- injection
- inspection
- institute
- instruction
- instructional
- instrument
- instrumental
- insulin
- insurance
- integrity
- intelligence
- intelligences
- interbody
- interest
- internal
- introduction
- invented
- iphone
- iron
- irritable
- islam
- islands
- issues
- james
- janus
- japan
- japanese
- jean
- jebsen
- jelly
- jenu
- jobs
- johns
- joint
- justice
- justify
- kidney
- kinase
- klondike
- knee
- komline
- korea
- lack
- language
- large
- leader
- leaders
- leadership
- leading
- learners
- learning
- left
- lesions
- levels
- life
- ligament
- light
- lightning
- like
- lined
- liquid
- literacy
- lithium
- live
- liver
- living
- loading
- located
- long
- longitudinal
- lorraine
- loss
- lost
- love
- lower
- lumbar
- lung
- lungs
- lymphatic
- lymphedema
- machine
- macular
- madness
- magnets
- main
- make
- maleate
- malignant
- management
- manual
- manufacturers
- many
- marfan
- markers
- marketing
- marriage
- mask
- mass
- massage
- material
- math
- mean
- means
- measures
- mechanism
- media
- medical
- medication
- medicine
- meditation
- medium
- memory
- mental
- mentally
- mercedes
- mesenteric
- mesh
- message
- metabolic
- metformin
- methacrylate
- methodist
- methods
- methotrexate
- methyl
- middle
- migraine
- mile
- military
- milk
- minds
- mineral
- mines
- mining
- misdiagnosed
- missile
- misstatement
- model
- modern
- molding
- monomer
- mononucleotide
- morgue
- morocco
- mosquito
- most
- motor
- mound
- mountains
- mouth
- movie
- much
- multicultural
- multiparametric
- multiple
- multiplication
- munro
- murders
- muscle
- muscles
- music
- muslim
- mutual
- myeloid
- myelopathy
- nanoscale
- narcissus
- narrative
- narrowing
- nasal
- national
- natural
- naturally
- near
- nebulizer
- neck
- negative
- nepal
- nerve
- nervous
- nest
- nevada
- ngozi
- nicotinamide
- nicotine
- night
- nitric
- nitrogen
- noble
- nodes
- nonprofit
- nonrenewable
- normal
- north
- northeast
- nose
- novel
- novol
- nstemi
- obamacare
- obesity
- oblivious
- observation
- obstruction
- occupational
- oils
- olive
- omeprazole
- oncology
- online
- only
- open
- operating
- ophthalmic
- options
- oral
- organizational
- oscar
- osmosis
- outcome
- outer
- ovarian
- ovary
- over
- oxide
- oxygen
- oxypetalum
- pacific
- pads
- pain
- palsy
- pamoate
- pancreas
- pancreatic
- pantoprazole
- paper
- parenthood
- park
- part
- participant
- particle
- parvizi
- pasola
- patients
- patriarchy
- paulownia
- peak
- pectus
- peel
- peer
- pelvic
- penile
- people
- peoples
- percolation
- personality
- persons
- pertinent
- pessary
- petroleum
- phase
- phone
- phospholipids
- physical
- physiology
- piaget
- pictures
- pigment
- pilocytic
- pinched
- pipe
- pipes
- place
- places
- plan
- planned
- plant
- plants
- plasma
- plasminogen
- plastic
- play
- plot
- poetry
- point
- police
- polls
- poly
- polycarbonate
- pono
- poor
- porpoise
- portrait
- position
- positive
- post
- posterior
- potassium
- powder
- practice
- practices
- prader
- precision
- predictive
- pregnancy
- pregnant
- present
- presidential
- pressure
- prevent
- priceline
- primidone
- prison
- probabilistic
- problems
- procedure
- process
- processed
- product
- profile
- program
- progressive
- project
- promote
- properties
- property
- prostate
- protection
- proteus
- psoriatic
- psychology
- ptsd
- puberty
- public
- pulmonary
- pulse
- pumpkin
- pyrantel
- qualitative
- quality
- quantitative
- queen
- questions
- race
- radio
- raisin
- ramsey
- range
- rapid
- rate
- rates
- rating
- reading
- readmission
- real
- reason
- recall
- records
- recreation
- reef
- reefs
- reference
- reflecting
- reflexology
- reform
- regression
- regulator
- reinforced
- related
- release
- relief
- religion
- reluctant
- removal
- repellent
- research
- resilience
- resources
- results
- reverse
- review
- reviews
- rheumatoid
- rhino
- rica
- rich
- risk
- risks
- river
- rnase
- robot
- role
- roof
- room
- round
- royal
- rush
- saharan
- sale
- salt
- sanderson
- save
- scale
- scars
- scatter
- schlatter
- science
- scientific
- scientist
- scorpion
- scratch
- screen
- search
- secondary
- section
- security
- seed
- seeds
- selective
- seniors
- sensor
- sensorineural
- sequoia
- serotonin
- service
- sesame
- seven
- severe
- shampoo
- sheep
- sheltering
- shielding
- shifting
- should
- side
- signs
- silent
- silk
- situ
- size
- skin
- sleep
- slow
- small
- smoking
- social
- society
- softball
- software
- soil
- solutions
- solve
- someone
- sores
- soul
- source
- south
- specific
- speech
- spina
- spinal
- spine
- spirit
- splint
- sprain
- spray
- spreads
- spurs
- spyware
- squirrel
- stage
- stages
- stamp
- state
- statement
- states
- statistics
- steel
- stem
- stemi
- stenosis
- steve
- stones
- straight
- strategies
- strategy
- stressor
- strips
- strokes
- structures
- struggle
- students
- study
- submerged
- subtractive
- sufism
- suicidal
- sulphur
- superior
- supplement
- supplements
- supply
- support
- suppressor
- suppurativa
- surgery
- survey
- survival
- sustained
- sutures
- swan
- switch
- switzerland
- swivel
- symptoms
- syndrome
- synthesis
- system
- systeme
- systems
- tablet
- tack
- taiga
- take
- takes
- tank
- tattoos
- teaching
- team
- teamwork
- techniques
- technology
- tempering
- tenant
- tendons
- tenosynovitis
- term
- test
- testing
- tests
- texas
- that
- theory
- therapy
- there
- thinking
- third
- thirteen
- this
- threats
- through
- thyroid
- tick
- time
- tinnitus
- tissue
- toddler
- toddlers
- tongue
- tort
- touareg
- touch
- towers
- tract
- training
- transfer
- transformation
- transfusion
- translation
- transliteration
- treatment
- treatments
- tree
- tribes
- triple
- trump
- tumor
- tunnel
- twice
- twin
- type
- types
- ulster
- ultrasound
- under
- unit
- united
- ureter
- urinary
- used
- using
- uterus
- utopian
- vacuum
- validation
- value
- values
- valve
- vena
- village
- vinifera
- violence
- vipassana
- virtual
- virus
- visual
- vitamins
- vitex
- vivo
- volcano
- voltage
- waals
- walk
- water
- ways
- weak
- weather
- weekly
- weight
- welfare
- well
- what
- when
- where
- white
- willi
- window
- wisdom
- with
- without
- woman
- women
- wool
- words
- work
- working
- world
- worlds
- worn
- would
- wounds
- wrote
- yawning
- yeast
- young
- your
- zika
- zoloft